A Salem Exclusive é uma clínica odontológica localizada no Centro de Paranavaí, dedicada a oferecer tratamentos modernos com tecnologia, precisão e atendimento personalizado.
Atuamos em odontologia estética, lentes de contato dentais, implantes e reabilitação oral, sempre buscando resultados naturais e duradouros para transformar sorrisos. Somos uma clínica completa, com RX panorâmico e tomografia no próprio local, proporcionando mais precisão, agilidade e segurança em cada etapa do tratamento.
A Salem Exclusive é uma clínica odontológica localizada no Centro de Paranavaí, dedicada a oferecer tratamentos modernos com tecnologia, precisão e atendimento personalizado.
Atuamos em odontologia estética, lentes de contato dentais, implantes e reabilitação oral, sempre buscando resultados naturais e duradouros para transformar sorrisos. Somos uma clínica completa, com RX panorâmico e tomografia no próprio local, proporcionando mais precisão, agilidade e segurança em cada etapa do tratamento.
Recupere seu sorriso e a confiança ao mastigar com implantes dentários. Utilizamos tecnologia avançada para substituir dentes perdidos com segurança, conforto e aparência natural, devolvendo estética, função e qualidade de vida.
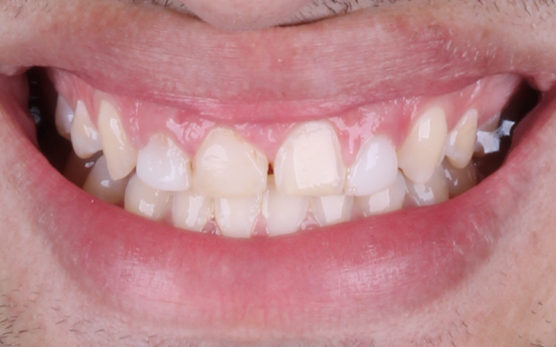
Transforme seu sorriso com lentes de contato dentais. Finas e altamente estéticas, elas corrigem imperfeições, manchas e desalinhamentos, proporcionando dentes mais brancos, harmônicos e naturais..
Elimine dores e preserve seu dente com o tratamento de canal. Seguro e eficaz, remove a infecção interna e restaura a função
Alinhe seu sorriso com alinhadores transparentes. Discretos e confortáveis, eles corrigem desalinhamentos com mais praticidade e eficiência
Alinhe seu sorriso com ortodontia convencional. Eficiente e segura, corrige desalinhamentos com precisão e resultados duradouros
Recupere seu sorriso com próteses dentárias. Funcionais e estéticas, devolvem mastigação, conforto e harmonia com resultados naturais
Cuide da saúde do seu sorriso com tratamentos completos. Restauramos dentes e gengivas, devolvendo função, estética e equilíbrio com resultados duradouros
Recupere seu sorriso e a confiança ao mastigar com implantes dentários. Utilizamos tecnologia avançada para substituir dentes perdidos com segurança, conforto e aparência natural, devolvendo estética, função e qualidade de vida.
Transforme seu sorriso com lentes de contato dentais. Finas e altamente estéticas, elas corrigem imperfeições, manchas e desalinhamentos, proporcionando dentes mais brancos, harmônicos e naturais..
Elimine dores e preserve seu dente com o tratamento de canal. Seguro e eficaz, remove a infecção interna e restaura a função
Alinhe seu sorriso com alinhadores transparentes. Discretos e confortáveis, eles corrigem desalinhamentos com mais praticidade e eficiência
Alinhe seu sorriso com ortodontia convencional. Eficiente e segura, corrige desalinhamentos com precisão e resultados duradouros
Recupere seu sorriso com próteses dentárias. Funcionais e estéticas, devolvem mastigação, conforto e harmonia com resultados naturais
Cuide da saúde do seu sorriso com tratamentos completos. Restauramos dentes e gengivas, devolvendo função, estética e equilíbrio com resultados duradouros





